切開式重瞼術の経過写真(当院モニター症例)
切開式重瞼術(全切開法)とは?
切開式重瞼術は、まぶたに切開を加えて二重のラインを作る手術です。
埋没法に比べてより安定した二重を作ることができ、まぶたの厚みや皮膚の余りがある方にも適応できるのが特徴です。
特徴
まぶたの皮膚を切開し、二重のラインを内部でしっかり固定する
余分な皮膚や脂肪を同時に取り除ける
一度形が完成すれば戻りにくい
自然で長持ちする二重を希望する方に向いている方法です。
長所(メリット)
持続力が高い
埋没法と違い、ラインがとれにくく、半永久的な効果が期待できます。まぶたの状態に合わせた調整が可能
厚ぼったいまぶた、皮膚のたるみがあるまぶたでも対応できます。理想のラインを作りやすい
埋没法ではとれやすくなる幅広め(平行型)の二重などを作りやすい。
短所(デメリット)
ダウンタイムが長い
腫れや内出血が強く出ることがあり、回復までに時間がかかります。元に戻すのが難しい
埋没法に比べて修正が困難で、気軽に「やり直し」ができません。傷跡が残る可能性
ほとんどは時間とともに目立たなくなりますが、体質によっては線が残る場合があります。
ダウンタイムについて
腫れ:術後1〜2週間が最も強く、幅広い二重になります。その後徐々に落ち着きます。
内出血:個人差がありますが、数日〜2週間程度で改善することが多いです。
抜糸:術後7日前後に行われます。
完成までの目安:1〜3か月で自然なラインになってきます。
術後しばらくは人前に出る予定を調整しておくと安心です。
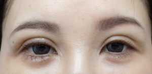
経過写真(モニター症例1)
20代、女性。過去に埋没法を2回施行するも外れてきた。やや幅広めの平行型重瞼
を希望されました。

術前デザイン

術後1週間(抜糸時)

術後1か月


術後3か月
経過写真(モニター症例2)
過去に3回埋没法を施行されるも、ラインが消えてきたため
切開法を希望されました。
※手術結果、合併症、術後経過には個人差があります。
※合併症・リスクとして腫れ、内出血、まぶたの違和感(多くの場合時間とともになくなります)
傷口の赤み、感染、凹み、二重幅の左右差、予定外重瞼線などがあります。
料金
片側 88,000円 両側 165,000円 (税込)
(モニター割引 30%オフ)
通常の診察時間にご来院いただき、手術説明、日時を決めます。
診察、説明、手術、術後診察まですべて形成外科専門医の院長がおこないます。











